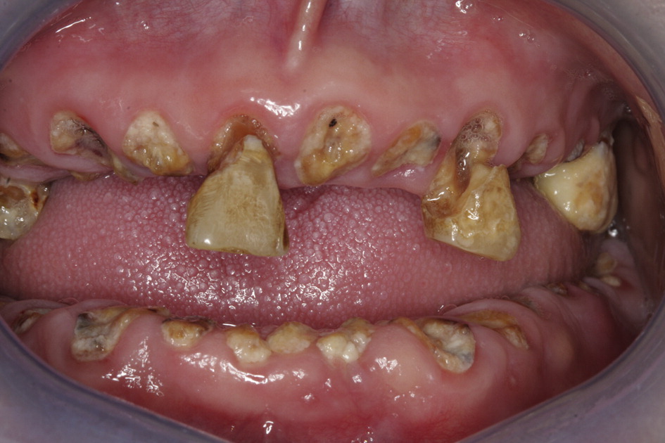
Methamphetamine abuse can affect oral hygiene, causing decay and gum disease. This condition is often referred to as “Meth mouth.”
- The severe tooth decay and gum disease caused by meth abuse can often lead to teeth falling out or breaking off and almost always bad breath
- This extensive tooth decay is likely caused by a combination of factors such as lack of concern over hygiene due to being high, poor nutrition, clenched jaws, grinding teeth, indulging in other activities that are bad for dental hygiene
- Over time meth abuse can cause strokes, high blood pressure, anxiety, erratic and violent behavior, paranoia, and hallucinations
.jpg?v=1722501787)
What is meth mouth?
Methamphetamine, or meth, is a highly addictive stimulant that can have severe negative impacts on a person's life and health. Long-term meth abuse and addiction can lead to various life-threatening health conditions, including seizures, stroke, and permanent brain damage. It can also have devastating effects on dental health, causing decay, gum disease, periodontal disease, halitosis, and other types of oral disease according to a study funded by the National Institute on Drug Abuse and published in the Journal of the American Dental Association.
The severe tooth decay and gum disease caused by meth abuse can often lead to teeth falling out or breaking off and almost always bad breath. An examination of over 550 meth abusers found that:
- 96% had cavities
- 58% had untreated tooth decay
- 31% had six or more missing teeth
What are the symptoms of meth mouth?
Symptoms of meth mouth often include teeth being blackened, stained, rotting, crumbling, and falling apart. In most instances, the affected teeth cannot be salvaged and will result in tooth extractions. This extensive tooth decay is likely caused by a combination of factors such as lack of concern over hygiene due to being high, poor nutrition, clenched jaws, grinding teeth, indulging in other activities that are bad for dental hygiene (smoking cigarettes, sugary beverages, etc.), and other physiological and psychological changes caused by abuse.
Related blog: Can Damaged Skin Heal After Meth Addiction?
In addition to this, methamphetamine is also acidic, meaning those who smoke the substance will directly erode their teeth. The above study also showed that the longer someone abused meth, the more likely they would develop gum disease and tooth decay. For instance, people over 30 years or older who had been using meth for a long time would have more oral issues than someone of the same age who hadn’t, as was the case with smokers.
Meth mouth is a strong indicator that a person has a meth use disorder. Read here to learn more about the symptoms and signs of meth abuse.
Long term consequences of meth abuse
While the visible side effects of meth abuse are unpleasant, the long-term consequences to health are dangerous, and meth addiction can ruin lives. Over time meth abuse can cause strokes, high blood pressure, anxiety, erratic and violent behavior, paranoia, and hallucinations. If you or someone you know is suffering from a meth use disorder or addiction, contact a treatment provider today to see what help is available.